千花网坊论坛上海 ,凤楼阁论坛官网入口网址全国楼凤app软件 ,在线喝茶论坛,栖凤楼茶楼论坛永久地址栖凤阁论坛(全国信息)武汉

当前位置:唯微口腔 > 资讯 > 医院资讯 > 沈阳德立联合口腔医院怎么样?种植牙、矫正价格及技术全解析来了!

沈阳德立联合口腔医院怎么样?种植牙、矫正价格及技术全解析来了!

编辑:七弦
更新时间:2025-10-20 09:49:58
次浏览

想在沈阳做种植牙或牙齿矫正的朋友,一定听说过沈阳德立联合口腔医院,这家在铁西区建设中路的专精口腔医院自开业以来就因为“高技术、高性价比”收获了不少用户好评。今天就来带大家全方面、接地气地聊一聊——沈阳德立联合口腔医院到底靠谱吗?他们的种植牙技术如何,价格贵不贵,矫正费用是否合理?让我们一步步揭开谜底!

沈阳德立联合口腔医院怎么样?医院实力和环境真的在线!

沈阳德立联合口腔医院是一家由沈阳市政府招商引资的正规二级专科口腔医院,成立于2023年,地址位于沈阳市铁西区建设中路,交通非常便利,地铁、公交都能直达。医院整体环境干净简洁,布局现代化,内部布局儿童候诊区、无菌手术室、VIP诊室一应俱全,还提供多语种就医服务,连德语、英语都有,服务体验相当贴心。

它不仅是普通牙齿治疗那么简单,德立联合更着重在“种植牙+数字正畸+美学修复”三大口腔领域崛起,引进了德国UDIS数字化种植技术系统、3D数字口内扫描设备、口腔CT等精良硬件,种牙这事不仅快,还精细。医生团队方面,也都是有经验的名咖级别,包括德国留学回来的斯温博士、数字化种植“熟手”邓天林院长,经验值一个赛一个高。

沈阳德立联合口腔医院种植牙技术怎么样?

沈阳德立联合口腔医院种植牙技术怎么样?

从德国UDIS数字种植到复杂病例的All-on-4、穿颧穿翼种植,沈阳德立联合口腔医院在种牙这块是真的“有货”。不管你是单颗、多颗,还是半口、全口需要重建,德立的医生都能搞定。

比如他们采用的UDIS数字导航种植技术,能将种植体误差控制在0.1毫米以内,这是啥概念?就是精细得像开了外挂。而且还可以做到即刻种植、即刻戴冠,让你“当天种牙,当天吃饭”都不是梦。对于骨量不足、牙槽骨吸收重度的患者,他们能做骨增量、上颌窦提升等高难度种植术,解决别人搞不定的问题。

更重要的是,他们的种植牙品牌不只是“韩系亲民派”,还有德国、瑞士的“高端选手”。瑞士ITI、瑞典诺贝尔、德国贝格、ICX、美国皓圣、韩国登腾等进口种植体应有尽有,质保期长达10年以上,质量实力强,价格还透明不虚标。

沈阳德立联合口腔医院种植牙价格清单来了

沈阳德立联合口腔医院种植牙价格清单来了

说到价格,沈阳德立联合的种植牙价格是真心实在。普通韩国登腾种植体起步价只要2580元/颗,美国皓圣2980元/颗就能搞定。德国种植体5000元起,瑞典诺贝尔那些高阶品牌6980元起,想一步到位选进口放心牙也完全没问题。

如果是两颗以上或者要做半口、全口修复,价格也比市场均价低不少。比如All-on-4半口种植30000左右就能做,全口大概在60000元起,在沈阳这个市场上性价比算是非常能打的。这里要提醒一句,具体价格会根据你的个人牙槽骨情况、是否需植骨、牙冠材质等有所差异,医生会提供详细方案和报价。

沈阳德立联合口腔医院牙齿矫正值得做吗?价格先看!

沈阳德立联合口腔医院牙齿矫正值得做吗?价格先看!

矫正方面,沈阳德立联合口腔医院有传统托槽、自锁托槽,也有现在特别火的隐形矫正。如果你是学生党,预算紧点的可以优先选传统金属托槽矫正,6800元起;自锁金属托槽矫正的话10000元起,性价比也特别高。

想美观点不上镜的,就可以上陶瓷托槽、或者隐形矫正。比如隐形矫正中的时代天使基础版22800元起,正雅18800元起,隐适美29800元起,价格和服务都特别透明,套餐也是分不同级别的,可以根据你的预期成效和矫正难易程度来安排。

更贴心的是,医院矫正是严肃看待一整套流程:从方案设计、取模拍片、矫治中监视牙齿移动过程一直到结案后保持器发放、复诊安排都非常标准化。再加上他们还有DSD数字笑容设计系统,就是那种“没开始戴矫正器,先敲定你完成后长什么样”的黑科技。

沈阳德立联合口腔医院综合治疗项目有哪些?

沈阳德立联合口腔医院综合治疗项目有哪些?

除了种牙矫正这些重头戏,日??谇幌钅可蜓舻铝⒘弦惨桓霾宦洹?/strong>补牙方面从Z250国产树脂填充到美国3M、瑞士进口义获嘉材料都有,300元~800元左右不等;洁牙的话,基础洁牙只需要76元起,德国品质舒适洁牙套餐298元也是常年热销款。

拔牙细分也做得特别到位,有儿童乳牙拔除(50元起)、简单松动牙拔除(38元起)、智齿拔除(380元~800元不等),技术到位又不吓人。美白项目像冷光美白880元起,也是特别多年轻人做结婚照之前的优选项目。

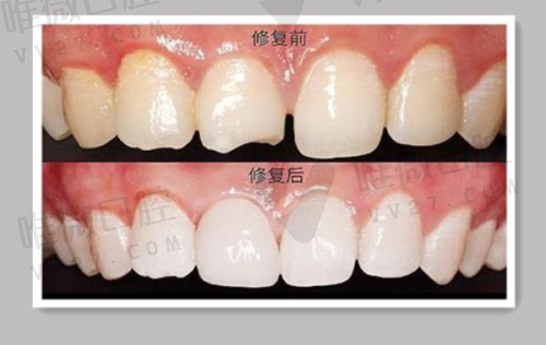
还有像树脂贴面880元/颗起、全瓷贴面1680元起这些轻美学需求,也可以安排上。小朋友的防蛀项目也没落下,全口涂氟只要120元起,妈妈们大可放心带娃来做口腔护理。

去过的人怎么评价沈阳德立联合口腔医院?

去过的人怎么评价沈阳德立联合口腔医院?

从真实体验来看,去过沈阳德立联合看牙的患者好评率真的高到离谱。有做过全口种牙的爸妈说:“手术过程比想象中轻松多了,不像以前觉得种牙特别痛、复杂?!笔鹾蠡够嵊兴娣玫缁?、免费复查,医护人员态度那叫一个温柔。

年轻人则更关注技术和美观反馈:“我做的是前牙缺失,种完看起来就像邻牙一样自然,朋友都发现不了是假牙?!薄饫嗥兰墼谄教ㄉ纤媸忠凰⒍际羌敢臣敢车摹?/p>

值得一提的是,医院不打价格战,不搞套路营销。他们对价格都写明得清清楚楚,没有花里胡哨的“先免费后附加”的那一套;也不忽悠你办卡、不强制推销,这是特别多人点赞的一点。

沈阳德立联合口腔医院地址在哪?怎么去?

沈阳德立联合口腔医院地址在哪?怎么去?

医院位置在铁西区建设中路30号9门,如果你地铁出行,可以乘坐地铁1号线或9号线在铁西广场站下车,从A口出步行仅需6分钟左右。自驾的话,可以直接用导航搜“沈阳德立联合口腔医院”,周边有配套停车场,交通非常方便。

医院营业时间是每天早上8:30到下午17:30,包括节假日也有医生轮班,门诊不停歇。如果需要提前预约,可以通过“德立联合口腔”公众号操作,也可以电话预约(提示:客服电话中中间几位会做加星处理,避免详细个人信息泄露)。

* 总体评价:
* 内容 (必填,800字以内)
还能输入800
Copyright © 2023 唯微口腔. All rights reserved.