
吉首牙科医院哪家好又便宜?在吉首看牙,既想省钱又想成效好?这份吉首市牙科医院排行榜帮你轻松锁定高性价比选择!从种植牙到牙齿矫正,这些医院用实力和价格证明:好牙科不一定要花大价钱。
地址:人民北路42号(关厢门公交站步行5分钟)
技术亮点:数字化种植牙技术能精细定位,像搭积木一样完成种植;院内自建加工厂,3天就能拿到定制牙冠。特别擅长处理骨量不足的复杂种植,比如需要"填骨粉"的上颌窦提升术。
省钱妙招:韩国登腾种植牙3900元就能做,相当于一部手机的价格;儿童矫正2500元起,还送护牙大礼包。
患者评价:"拔智齿时医生一直讲冷笑话,还没笑完牙就拔好了"、"洗牙40元还送牙膏,怀疑老板在做慈善"。
地址:武陵东路55号(红旗门商圈)
连锁优势:消毒间像实验室一样分三区管理,器械都要经过高温高压"桑拿";矫正方案由长沙总院骨干医生远程会诊,3280元的特价种植牙经常秒光。
特色项目:隐形矫正"后悔险"服务,3年内反弹免费重做;儿童涂氟100元全口,还附赠卡通牙模纪念品。
价格参考:金属托槽矫正5880元起,相当于每天5块钱;瑞士ITI种植牙偶尔会打五折。
地址:人民北路132号鸿瑞大厦二楼
科技体验:口扫仪3分钟生成3D牙模,不用咬恶心石膏;矫正模拟系统能预览1年后的笑容,正确度高达90%。
年轻化服务:候诊区有Switch游戏机,拔牙可以选动漫主题音乐;正畸医生会根据脸型设计微笑线。
费用指南:隐形矫正14582元起支持多次,微创种植5698元含终身复诊。
地址:高新区滨溶江路8号
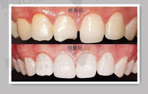
实力派诊所:别看门脸不大,医生能把种植体"种"进萎缩的牙槽骨;美学修复能让烤瓷牙呈现天然牙的透光感。
性价比之选:补牙456元用进口树脂,根管治疗982元包3次复诊;半口种植7.5万元还送洁牙卡。
贴心细节:术后有24小时急诊通道,晚上牙疼也能找到医生。
地址:武陵东路汽车南站旁
预防型牙科:建立口腔健康档案,定期提醒复查;牙齿美白采用"渐进式漂白",比冷光美白更温和。
活动情报:每月8号会员日补牙半价,学生凭证种牙享8折;全瓷贴面常有两颗送一颗的优惠。
价格区间:钴铬烤瓷牙1256元起,相当于每天1块钱用10年;牙齿美白套餐2369元含6次护理。
选择小贴士:
1. 复杂种植选湘西口腔医院,简单修复去前程口腔更划算
2. 带孩子看牙优先考虑德韩或仁爱,服务更耐心
3. 矫正前建议先去斑马牙医做免费口扫模拟
4. 关注各家公众号,经常有9.9元洗牙的限时补贴
记住这些吉首牙科的"隐藏菜单":湘西口腔的周三特别优惠日、德韩的周年庆充值返现、斑马牙医的毕业季矫正套餐、前程口腔的老年种牙援助、仁爱的七夕美白情侣价??春醚?,真的不用吃土!